Mulher nos EUA passou 9 anos com "bebê de pedra" no abdômen
Aventuras Na História

Uma mulher congolesa de 50 anos que vivia como refugiada nos Estados Unidos veio a óbito depois que se recusou a realizar uma cirurgia para retirar um feto calcificado há cerca de nove anos de seu abdômen.
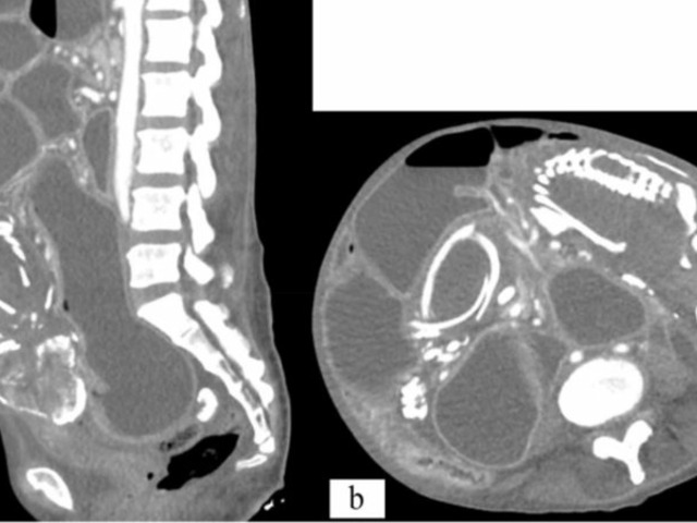
O caso bizarro do "bebê de pedra" foi descrito em um artigo publicado no periódico científico BMC Women's Health. O feto calcificado foi descoberto quando a mulher foi atendida em um hospital com dor e desconforto abdominal. Após exames de raios X, os especialistas identificaram o problema da refugiada: um litopédio, que é um evento médico raro onde o feto morre e se calcifica dentro da barriga da mãe.
Feto calcificado
O feto estava calcificado no abdômen da gestante há cerca de nove anos. Isso posava uma dificuldade na digestão dos alimentos para a mulher, que sofria, por causa do "bebê de pedra", de obstrução abdominal.
No artigo, que em seu título já afirma que a refugiada não só sofria de um litopédio (do grego "criança de pedra"), mas também de uma "vida inteira de trauma", os autores contam que ela sofreu com um tratamento ruim de profissionais de saúde na Tanzânia, na época em que a morte fetal ocorreu. Nos últimos nove anos, a mulher evitava procurar ajuda médica.
Cirurgia
Quando foi atendida nos Estados Unidos e o litopédio foi identificado, os médicos sugeriram uma cirurgia para retirar o "bebê de pedra". A mulher recusou o procedimento por medo da operação cirúrgica, de acordo com informações do UOL. Após o incidente, ela acabou morrendo de desnutrição grave por causa do feto calcificado e das dificuldades que ele apresentava para a digestão dela.
A refugiada teve oito filhos; três deles morreram depois do nascimento. O "bebê de pedra" foi sua nona gestação. Esse tipo de formação, um litopédio, é algo raríssimo na literatura médica. Menos de 300 casos foram registrados desde 1582, quando o primeiro caso documentado ocorreu, na França.

